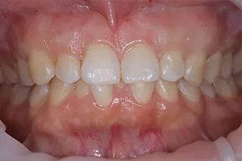
Before

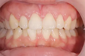
After

| 治療の内容 | 歯肉切除によるガミースマイル治療。 |
|---|---|
| 期間・回数 | 1月・3回(カウンセリング含む) |
| 費用 | 自由診療:歯肉切除✕2歯 60,000円(税込66,000円) |
| リスク・副作用 |
|
このページの目次
歯冠長延長術
歯と歯茎の境目にある余分な歯茎を切り、歯の露出部分を綺麗に整える治療で、歯頸ラインという歯と歯茎の境目をキレイにします。
上唇粘膜切除術
上唇の内側粘膜を一部切除して縫い縮めることで、笑った時に必要以上に唇がめくり上がらないようにする治療法です。
アンカースクリュー併用
歯を効率的に上方に移動(圧下)させるため、アンカースクリューという小さなインプラントを使用した矯正治療です。
Before

After

| 治療の内容 | 歯肉切除によるガミースマイル治療。 |
|---|---|
| 期間・回数 | 1月・3回(カウンセリング含む) |
| 費用 | 自由診療:歯肉切除✕2歯 60,000円(税込66,000円) |
| リスク・副作用 |
|
Before

After

| 治療の内容 | 26歳女性。クラウンレングスニングによるガミースマイル治療。 |
|---|---|
| 期間・回数 | 1月・3回(カウンセリング含む) |
| 費用 | 自由診療:クラウンレングスニング 4歯 200,000円・治療費6,000円(税込226,600円) |
| リスク・副作用 |
|
Before

After

| 治療の内容 | 23歳女性。クラウンレングスニングによるガミースマイル治療。 |
|---|---|
| 期間・回数 | 1月・2回 |
| 費用 | 自由診療:クラウンレングスニング 4歯 200,000円・治療費6,000円(税込226,600円) |
| リスク・副作用 |
|
Before
Process
After
Before
After
| 治療の内容 | 24歳女性。リップリポジショニングによるガミースマイル治療。 |
|---|---|
| 期間・回数 | 1ヶ月・3回(カウンセリング含む) |
| 費用 | 自由診療:リップリポジショニング150,000円・診察料6,000円 合計 171,600円(税込) |
| リスク・副作用 |
|
Before
Process
After
Before
After
| 治療の内容 | 24歳女性。リップリポジショニングによるガミースマイル治療。 |
|---|---|
| 期間・回数 | 1ヶ月・3回(カウンセリング含む) |
| 費用 | 自由診療:リップリポジショニング150,000円・診察料6,000円 合計 171,600円(税込) |
| リスク・副作用 |
|
医院情報
医院名:梅田アップル歯科| 曜日 | 月 | 火 | 水 | 木 | 金 | 土 |
|---|---|---|---|---|---|---|
| 診療開始 | 9:30 | 9:30 | 9:30 | 9:30 | 9:30 | 9:30 |
| 診療終了 | 18:30 | 18:30 | 13:00 | 18:30 | 18:30 | 17:00 |
休診日:日曜・祝日 ※日曜・祝日診療は右記記診療カレンダーをご覧下さい。
| 日 | 月 | 火 | 水 | 木 | 金 | 土 | ||||||||||||||
|---|---|---|---|---|---|---|---|---|---|---|---|---|---|---|---|---|---|---|---|---|
| ||||||||||||||||||||
| ||||||||||||||||||||
| ||||||||||||||||||||
| ||||||||||||||||||||
| ||||||||||||||||||||
| ||||||||||||||||||||
休診日
日曜・祝日診療
13時迄
アクセス・地図
アップル歯科の治療は大阪・兵庫・京都・福岡の10医院で受けられます
アップル歯科グループ